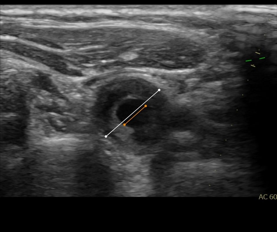
Bildnachweis einer Verengung der Halsschlagader mit weichem Plaquematerial
Angiologe Dr. Sven Hausen hat bei einer Patientin im Rahmen einer Vorsorgeuntersuchung eine besorgniserregende Karotisstenose entdeckt. Durch diesen Zufallsbefund konnte ein Schlaganfall verhindert werden.
Wie es zu einer solchen Verengung der Halsschlagader kommen kann und warum sie häufig unentdeckt bleibt, lesen Sie im folgenden.
Wie kommt es zu einem solchen Zufallsbefund?
Bei Dr. med. Sven Hausen stellte sich im Rahmen einer präventiven Herz-Kreislauf-Untersuchung eine beschwerdefreie Patientin Mitte 50 ohne nennenswerte Vorerkrankungen vor. An kardiovaskulären Risiken waren Rauchen und erhöhte Cholesterinwerte bekannt.
Bei der auf die Anamnese folgenden Sonographie der Halsschlagadern dokumentierte die abgebildete Stenosemorphologie eine Verengung der Halsschlagadern, eine Karotisstenose.
Wie ging es nun weiter?
Aus therapeutischer Sicht erfolgt die Einstellung der Risikofaktoren durch Beendigung des Rauchens sowie eine medikamentöse Behandlung der Hypercholesterinämie. Die Verengung wurde operativ saniert.
Die Bedeutung der Schlaganfall Vorsorge
Befunde wie dieser verdeutlichen einmal mehr die Wichtigkeit präventiver Untersuchungen des Herz-Kreislauf-Gefäß-Systems und unterstreicht den hohen Stellenwert von Ultraschalluntersuchungen der Gefäße, allen voran der Halsschlagader. Die Herz-Kreislauf-Vorsorge sollte ab 50 Jahren durchgeführt werden. Bei bekannten familiären Erkrankungen auch früher (z.B. Vater in jungen Jahren Herzinfarkt erlitten oder früh Bluthochdruck entdeckt).
Man schätzt, dass der Anteil der Menschen in der Bevölkerung mit einer Karotisstenose > 50% bei ca. 4,2% liegt. Der Schlaganfall ist als Komplikation einer Karotisstenose zu sehen, und somit ein Ereignis, dass potentiell tödlich verlaufen kann und zu verhindern gilt.
Ca. 15% aller in Deutschland vorkommenden Schlaganfälle lassen sich auf eine Karotisstenose > 50% zurückführen. Untersuchungen haben dabei ergeben, dass vor allem das männliche Geschlecht, Rauchen, Lebensalter und eine vorherige Gefäßerkrankung (z.B. Koronare Herzerkrankung, periphere arterielle Verschlusskrankheit) bedeutend mit einer > 50%igen Stenose assoziiert sind.
Mit Hilfe des Gefäßultraschalles lassen sich nicht nur Strömungsverhältnisse in den Gefäßen messen, sondern es gelingt mit hoher Genauigkeit, bereits frühmanifestierte (arteriosklerotische) Veränderungen des Gefäßbettes zu erkennen UND es ermöglicht eine Beurteilung der sogenannten Plaquemorphologie (Zusammensetzung des Plaques). Diese ist unabdingbar in der Beurteilung eines erhöhten Embolierisikos.
Möchten auch Sie mit einer Ultraschalluntersuchung Ihr Schlaganfall und Embolierisiko einschätzen lassen, um rechtzeitig geeignete Gegenmaßnahmen zu treffen? Vereinbaren Sie gerne einen Termin unter 0228 90 90 75 736.
Informieren Sie sich zum Angebot des Fachbereichs Angiologie an der Beta Klinik und weiteren Vorsorgeuntersuchungen
Zur Vorbeugung von Herz- und auch Gefäßerkrankungen bietet Dr. Sven Hausen den „Herz- und Gefäß-Check-Up“ an.
Dies beinhaltet eine gründliche Ultraschall-Screeninguntersuchung, wenn ein erhöhtes kardiovaskuläres Risikoprofil vorliegt. So können die frühzeitigen Auswirkungen und Veränderungen des Gefäßsystems (Gefäßverkalkung, Stenosen) oder Verengungen im Herzen (Stenosen) erkannt werden und sehr früh Gegenmaßnahmen eingeleitet werden, um Folgeerkrankungen zu verhindern.
Weitere spannenden Einblicke in die Angiologie und Kardiologie auch auf www.svenhausen.de