Kopfschmerzen behandeln in der Beta Klinik Bonn
Kopfschmerzen gehören zu den häufigsten gesundheitlichen Beeinträchtigungen. In Deutschland geben ca. 59% der Bevölkerung an mindestens einmal im Jahr unter Kopfschmerzen zu leiden. Prädisponierende Faktoren sind das weibliche Geschlecht, jüngeres Lebensalter sowie Leben in der Großtstadt.
Inhaltsverzeichnis
Welche Arten von Kopfschmerz gibt es?
In der heutigen Medizin sind über 250 verschiedene Kopfschmerzarten bekannt, die durch die internationale Kopfschmerzgesellschaft klassifiziert wurden. Kopfschmerzen lassen sich in zwei große Gruppen einteilen.

Primäre Kopfschmerzerkrankungen
Charakteristisch für primären Kopfschmerzen ist, dass die Kopfschmerzen durch keine anderen organischen Ursachen hervorgerufen werden. Bildgebene Untersuchungen des Gehirns (MRT) sind daher unauffällig. Zu den primären Kopfschmerzen gehören die weltweit häufigsten Kopfschmerzarten – Spannungskopfschmerzen und Migräne.

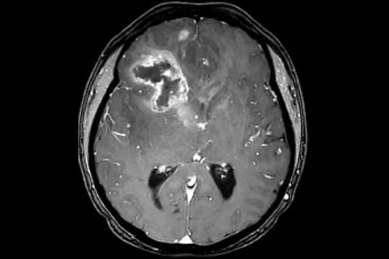
Sekundäre Kopfschmerzerkrankungen
Unter sekundäre Kopfschmerzen fallen eine Vielzahl von Kopfschmerz-Syndromen welche eine andere Erkrankung als Ursache haben. Hierzu zählen zum Beispiel Hirnblutungen (z.B. bei Gerhirnaneurysmen) und Tumore. Diese sind jedoch sehr selten.
Wann muss ich bei Kopfschmerzen zum Arzt gehen?
Bei ganz neu auftretenden Kopfschmerzen, die außergewöhnlich intensiv oder ungewöhnlich lange anhalten, sollte man ärztlich untersucht werden. Zusätzliche Symptomen wie Schwindel, Fieber, hoher Blutdruck oder neurologischen Ausfällen sind weitere Indikatoren dafür, dass Sie einen Arzt aufsuchen sollten. Eine ausführliche Beratung erhalten Sie durch die Neurologen der Beta Klinik.
Sie sind sich unsicher ob Sie unter Migräne oder Kopfschmerzen leiden? Erfahren Sie mehr über Migräne, deren Symptome und Behandlungsmöglichkeiten.
Spannungskopfschmerz: die häufigste Kopfschmerzart
Spannungskopfschmerzen sind charakterisiert durch leichte bis mittelschwere Kopfschmerzen (dumpfdrückende Kopfschmerzen), bei der sich die Intensität langsam steigert. Der Kopfschmerz wird als dumpfdrückend im ganzen Kopf (wie bei einem zu engen Hut) empfunden. In Abgrenzung zu Migräne führt normale körperliche Betätigung bei Spannungskopfschmerzen in der Regel zu keiner Verschlechterung der Schmerzen. Weitere Symptome wie Erbrechen, Licht- oder Geräuschempfindlichkeit oder neurologische Ausfälle (z.B. Sprachstörung oder Sehstörung) sind klassischerweise nicht vorhanden.
Auslösende oder verstärkende Faktoren für den Spannungskopfschmerz können Stress, muskuläre Fehlbelastung oder fieberhafte Infekte sein. Nach der Häufigkeit des Aufretens unterscheidet man den sporadisch auftretenden episodischen Spannungskopfschmerz (<12 Tage im Jahr), den häufig auftretenden episodischen Spannungskopfschmerz (1-14 x pro Monat) und den chronischen Episodischen Spannungskopfschmerz (min. 15 Tage im Monat).
Diagnostik bei Spannungs-kopfschmerzen
Die Diagnostik umfasst ein ausführliches Anamnesegespräch und eine neurologische Untersuchung. Je nach Befund muss im Einzelfall die Diagnostik ausgeweitet werden und so z.B. ein MRT des Kopfes durchgeführt werden.
Spannungskopf-schmerz: Was hilft?
Zur Akuttherapie von Spannungskopfschmerzen hilft in leichteren Fällen die großflächige Aplikation von Hausmitteln wie Pfefferminzöl, welches auf Schläfe und Nacken aufgetragen wird. In stärkeren Fällen werden herkömmliche Schmerzmedikamente, wie Aspirin, Paracetamol, Ibuprofen, Metamitzol etc… verwendet.
Dabei ist es wichtig zu beachten, dass an nicht mehr als 10 Tagen pro Monat Schmerztabletten eingenommen werden sollen, um der Gefahr eines Analgetika-induzierten Kopfschmerzes (Kopfschmerz bei Übergebrauch von Schmerz- oder Migränemitteln) vorzubeugen.
Spannungskopfschmerz Übungen & Prophylaxe (nicht-medikamentöse Maßnahmen)
Treten Spannungskopfschmerzen sehr häufig oder gar chronisch auf empfiehlt es sich prophylaktische Maßnahmen durchzuführen.
Spannungskopfschmerz Übungen wie Muskelrelaxation nach Jacobson, autogenes Training und regelmäßiges Ausdauertraining (2-3x wöchentlich, wie z.B. Joggen, Schwimmen oder Radfahren), sind die Basis einer Spannungskopfschmerz-Prophylaxe.
Durch wissenschaftliche Studien belegt ist auch der Effekt von Physiotherapie (Training der HWS- und Schuldermuskulatur) sowie manueller Therapie. Eine niederländische Studie zeigte z.B. eine Reduktion der Spannungskopfschmerztage von im Mittel 6,4 Tage unter dem Einsatz von manueller Therapie. Diese vorbeugenden Maßnahmen können Sie direkt bei uns vor Ort im Beta Sport- und Rehabereich durchführen.
Weitere wirksame Methoden sind Bio-Feedback und Stressbewältigungsmethoden.
Medikamentöse Maßnahmen
Sollten diese Basismaßnahmen nicht ausreichend helfen und die Spannungskopfschmerzen chronisch auftreten, besteht die Indikation für eine zusätzliche medikamentöse Prophylaxe. Insbesondere wenn schon weitere Symptome wie Schlafstörungen, depressive Verstimmungen oder Muskelschmerzen vorliegen. Hier werden in der Regel, als Mittel der ersten Wahl, Antidepressiva eingesetzt, die sich in der Therapie von Schmerzen etabliert haben. Alternativ werden auch in einzelnen Fällen Muskelrelaxantien verwendet.